神経難病(4)

神経難病(4)

今回は多発性硬化症についてお届けします。多発性硬化症は神経難病の中ではパーキンソン病に次いで2番目に多いと言われています。落語家の林家こん平さんがかかられた病気として有名になりました。先日放送されていました日本テレビの24時間テレビの中で久しぶりに「笑点」に出演され、顔を拝見することができましたが、現在も治療中とのことでした。当院でも多発性硬化症は、1年間に1-2人程度みつかっています。この病気にはいくつかの特徴がみられます

病気の特徴)

  1. 年齢として15~45歳と比較的若年層でやや女性に多い。
  2. 北米・欧州などの緯度の高い地域に多く、アジアでは比較的少い。
  3. 異なる症状が出現・軽快・再燃を繰り返す。

症状)

  1. 視力低下 42.3%
  2. 運動麻痺 21.2%
  3. しびれ感 20.2%
  4. 歩行障害 18.6%
  5. 感覚鈍麻 18.5%
  6. 複視 15.9%
  7. 言語障害 14.7%
  8. 頭痛 12.7%

病気の特徴でも書いたように、症状は非常にバラエティーに富みますが、目に関する症状が多いのが特徴です。診断は症状・症状の経過・MRI検査・脳脊髄液検査などを行うことで確定します。治療は基本的には入院していただき、諸検査を行いながらステロイドの大量投与を行うことで改善していくようです。具体的な症例を提示します。

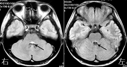
症例)27歳 女性 病歴)2週間くらい前から、右側を見ると物が二重に見える。眼科を受診したが眼球には異常所見ないと言われる。その後、総合病院脳神経外科を受診するが、頭部CT検査で異常所見ないと言われる。その後も症状持続するために当院受診となっています。

院長コラム:神経難病(4)

診察上、眼球運動障害があり、右側を見ると物が二重に見え、歩行も不安定でフラツキが強い状態でした。頭部MRI検査を施行すると、左のMRIに示すように矢印の部分が白く描出されています。そこが多発性硬化症をおこしている所見です。入院していただき、ステロイド治療を行うことで徐々に症状は改善しました。この疾患の難しいところは、一旦治療によって改善しても再発を繰り返すことです。そこが神経難病である由縁だと思われます。

«神経難病(3) 神経難病(5)»

Copyright©2007-2025 All rights reserved by Ikeda Neurosurgical Clinic.