脳腫瘍(1)

脳腫瘍(1)

脳腫瘍とは、頭蓋骨の中に発生する腫瘍の総称です。頭蓋骨の内部には、脳・髄膜(脳を包んでいる膜)・脳神経・下垂体・血管などがあります。つまり、これらの組織から発生する腫瘍をまとめて、原発性脳腫瘍といいます。これに対して、癌から脳へ転移してくる腫瘍を転移性脳腫瘍として原発性のものと区別しています。

院長コラム:脳腫瘍(1)

脳腫瘍全体の内訳では、原発性が85%、転移性が15%です。 原発性脳腫瘍の発生頻度は、人口1万人当たり1年間に約1人と報告されています。男女比は女性がやや多く、また高齢者になるほど発生頻度が増えます。原発性の中には、髄膜から発生する髄膜腫が27%、脳下垂体から発生する下垂体腺腫が18%、神経を包む鞘(さや)から発生する神経鞘腫が10%含まれます。これらが脳以外の組織から発生する良性腫瘍で半数を超えてしまいます。脳組織そのものから発生して神経細胞などの間に浸潤していく悪性の腫瘍(神経膠腫)は25%に過ぎません。

脳腫瘍の症状は、大きく3つに分かれます。1つは、脳腫瘍が出来ることにより、頭蓋骨に囲まれた内部の圧力が高くなること(=頭蓋内圧亢進症状)によって起こる症状です。これは頭痛・嘔吐・意識障害などが頭蓋内圧亢進によっておこる症状です。もう1つは、脳腫瘍によって直接圧迫されて脳の機能が障害される症状(=巣症状)です。これは脳腫瘍のできた場所によって症状が異なり、運動麻痺・しびれ・失語・視力障害など様々な症状です。そしてもう1つは、脳の一部が異常興奮をきたすことによって起こるけいれん発作です。

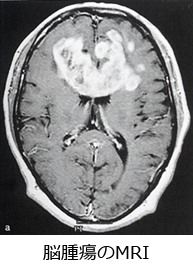
脳腫瘍の診断には、画像診断(特にMRI)が有用です。脳腫瘍の可能性が高ければ、造影MRIが極めて有効です。MRI検査で、ある程度良性か悪性か、またはどこから発生した腫瘍か、さらに腫瘍の組織型まで推測することができます。しかし確定診断には、手術などによる摘出や生検術によって腫瘍組織を採取し、顕微鏡による検査で確定することが必要です。

院長コラム:脳腫瘍(1)

Copyright©2007-2025 All rights reserved by Ikeda Neurosurgical Clinic.