脳出血について(3)

脳出血について(3)

院長コラム:脳出血について(3)

上記は、いろんな場所におこった脳出血のCTを呈示いたしました。脳出血は脳のあらゆる場所でおこることが知られています。場所によっておこる頻度も異なります。左側から頻度が多い順番に並べています。

また脳出血に決まった症状はなく、出血した部位、出血量、年齢などによって様々な症状が出現します。具体的には意識障害、片麻痺、感覚障害、視野障害、失語、構音障害といった症状です。

ただし、ほとんどの患者さんは、脳出血を発症した時に血圧が大変高い状況になっています。下に各部位の脳出血発症時の血圧を示しています。発症時は概ね170-180mmHgを越え、明らかに高値を示しています。実はこの発症時の血圧が大変重要になります。

院長コラム:脳出血について(3)

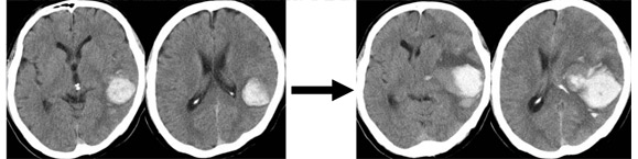
下記示します頭部CTは発症時の血圧管理が不十分だったものです。発症時に比較して3時間後のCTでは血腫が明らかに増大しているのがよくわかります。発症時の血圧管理は非常に大事です。

院長コラム:脳出血について(3) «脳出血について(2) 脳出血について(4)»

Copyright©2007-2025 All rights reserved by Ikeda Neurosurgical Clinic.