脳出血について(1)

脳出血について(1)

脳出血とは脳実質内の出血(脳ミソの出血)のことを言い、脳内血腫の圧迫によって、さまざまな神経症状(麻痺・感覚障害・失語etc.)および頭蓋内圧亢進症状(頭痛・吐き気・意識障害etc.)をおこします。

院長コラム:脳出血について(1)

脳出血は、上のグラフのように高血圧治療が十分行き届いてなかった昭和30~40年代では脳卒中の中でも圧倒的に頻度が高い疾患でした。しかし、徐々に血圧管理の重要性が認知され、血圧管理が改善されることに加え、食生活の欧米化も伴って脳出血が減少し、脳梗塞の割合が一気に増加しました。現在では、脳出血で死亡される患者さんは、脳卒中全体の約1/4まで減少しております。

院長コラム:脳出血について(1)

脳出血の危険因子になる疾患を下のグラフに示しております。脳出血の原因の多くは高血圧です。また生活習慣としては、過食傾向、運動不足、過度の塩分摂取を行ったり、多量の飲酒習慣がある人におこりやすいことが報告されております。

院長コラム:脳出血について(1) 院長コラム:脳出血について(1)

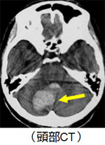
 診断は頭部CTを施行することで簡単に診断することが可能です。下の頭部CTで黄色い矢印の白くうつる部分が脳出血になります。
小脳というバランス感覚を養う部分に出血していますので診断は小脳出血です。ここに出血すると力はしっかりあるのに立てなかったり、吐き気が強く嘔吐したり、回転性のめまいが頻発したりします。

脳出血について(2)»

Copyright©2007-2025 All rights reserved by Ikeda Neurosurgical Clinic.