脳梗塞について
脳梗塞について
脳梗塞とは脳の血管が詰まって神経細胞が死んでしまう病気です。神経細胞は一旦死ぬと生き返ることはありません。脳の各部位は「見る、聞く、話す、身体を動かす」などの様々な機能を分担しています。神経細胞が死ぬと、その部分の脳の機能が損なわれます。そのため、脳梗塞を起こすと様々な症状(片麻痺、感覚障害、言語障害、意識障害など)が現れたり、後遺症が残ることがあります。
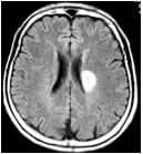
脳梗塞の種類

![]() |
![]() |
![]() |
| ラクナ梗塞 | アテローム血栓性脳梗塞 | 心原性脳塞栓症 |
世界でも脳梗塞発症率が高い日本
日本は下の図のように先進国の中では非常に脳梗塞の多い国で、日本人にとって脳梗塞は国民病とも言えます。また、一旦脳梗塞になると下記のグラフに示したように6.9%が死亡し、9.5%が寝たきりになり、更に14.4%は常時介助が必要な程度の後遺症が残ると報告されています。そういう意味でも非常に怖い病気です。
| 日本 | 107.5人/10万人/年 |
| 韓国 | 70.3人/10万人/年 |
| アメリカ | 47.8人/10万人/年 |
| フランス | 63.5人/10万人/年 |


