認知症について
認知症について
日本では高齢化が進み、認知症の患者さんが増えています。厚生労働省によると2010年には認知症の患者さんは全国で226万人に達すると言われています。東京都で調べた結果(図1)、 「家族が認知症ではないかと疑ってから、認知症と診断されるまでの期間」は2/3が「2年以上」でした。ということは多くの患者さんのご家族が認知症だと疑っていても、急な病気ではないために、治療を開始する時期が遅くなっている現状があります。図2に示しますように認知症の多くはアルツハイマー病であり、アルツハイマー病については2000年に病気の進行を遅らせる薬が認可され、非常に効果を上げています。認知症は患者さんだけの問題ではなく、家族や介護者にとっても大変重要な問題です。早めの受診が患者さんだけでなく、介護者の負担も楽にさせてくれます。

下記のような項目に思い当たる場合には早めの受診をお勧め致します。
- 同じ事を言ったり、聞いたりする
- だらしなくなった
- 物の名前がでてこない
- 時間や場所の感覚が不確かになった
- 置き忘れやしまい忘れが目立った
- 計算の間違いが多くなった
- 以前はあった関心や興味が失われた
- ささいなことで怒りっぽくなった
- 服装がだらしなくなった
- 家にとじこもりがちになった
- 日課をしなくなった
- 物忘れに対して自覚がない
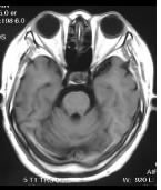
75歳 女性 正常例
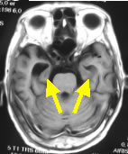
74歳女性 アルツハイマー病 海馬(矢印)が萎縮し脳室拡大(+)