耳鳴り(2)

耳鳴り(2)

前回は、耳鳴りがおこるメカニズムと耳鳴りがおこる疾患について説明しました。今回は、耳鳴りがおこる疾患について少し掘り下げていこうと思います。

●加齢性難聴

耳鳴りを訴える患者さんの90%以上には難聴が認められます。耳が聞こえづらくなると耳鳴りを訴える人も増えます。年齢が上がれば上がるほど聴力が落ちてきますので、そのためにおこる難聴を加齢性難聴と呼んでいます。これには程度や進行の早さには個人差が大きく、自然なものか病的なものかの判断が大変難しいものもあります。また長年、騒音が大きい場所で仕事をしていた人、遺伝的な関係が疑われる人、飲酒や喫煙などの生活習慣がある人など環境によっても異なります。

院長コラム:耳鳴り(2)

●メニエール病

進行性の難聴と、難聴が悪化するにつれ増悪する耳鳴り、繰り返すめまいの三大症状をもつのがメニエール病です。メニエール病は内耳の中にある内リンパ液がたまっておこることでおこります。この病気では、耳鳴りとめまいが同時か前後しておこります。「ブーン」という音から始まり、次第に「キーン」といった耳鳴りに移っていくことがあります。

●突発性難聴

原因ははっきりしませんが、ある日突然片側(極めて稀に両側性)の耳が聞こえなくなってしまう病気です。耳鳴りが難聴の発症と同時におこることもありますが、遅れてなりだす場合もあります。一般には難聴が改善すれば耳鳴りも改善するのですが、治った後にも耳鳴りが残ってしまう場合もあります。

院長コラム:耳鳴り(2)

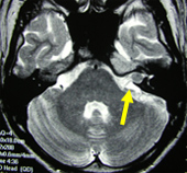
●聴神経腫瘍

耳の奥の内耳と脳を結ぶ神経に良性腫瘍が発生することがあります。良性腫瘍であるために転移したりすることはありませんが、大きくなると難聴が進み、更に耳鳴りふらつきめまいが出るようになります。腫瘍の発育は通常はゆっくりしていますが脳を圧迫するようになると、様々な症状がでるようになります。

院長コラム:耳鳴り(2)

●騒音性難聴

これには急性と慢性のものがあります。急性のものは、コンサート会場やダンスフロアなどに設置されたスピーカーの大音量をあびて、耳が閉塞したようになり耳鳴りがおこります。慢性のものは、職業上長い期間大きな音を聞き続けることで次第に難聴になり、耳鳴りをおこすようになります。

«耳鳴り(1) 耳鳴り(3)»

Copyright©2007-2025 All rights reserved by Ikeda Neurosurgical Clinic.