めまいについて

脳の病気でおこるめまい

院長コラム:めまいについて

グルグルと激しいめまいが起こると「脳の病気」ではないかと心配される人も多いと思います。めまいにはいろんな原因があり、最も多いものが耳の病気で、それ以外にも低血圧や貧血などの全身の病気や薬剤性、心因性のものもあります。

脳の病気でおこるめまいは下記にも示していますが、東京医科大学のめまい外来では8.6%と報告されており、今までの報告でも概ね5~10%程度とあまり多くはないようです。

このような症状があれば早めに当院へご相談してください。

具体的には下記に示す脳梗塞、脳出血、聴神経腫瘍などが脳の病気でおこるめまいの代表的な疾患です。では、脳の病気が疑われる症状にはどういうものがあるでしょうか?

  • 吐き気がひどい
  • 激しい頭痛がある
  • ろれつが回らない
  • 手足がしびれる
  • 片側の耳が聞こえにくい

このような症状があれば早めに当院へご相談してください。

また、下記の持病のある人はこれらの症状がなくても早めの受診をお勧めします。

  • 糖尿病
  • 高血圧
  • 高脂血症
  • ヘビースモーカー
  • 心房細動
  • 70歳以上
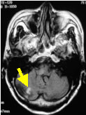
小脳出血

小脳出血

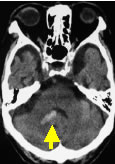
小脳梗塞

小脳梗塞

聴神経腫瘍

聴神経腫瘍

Copyright©2007-2025 All rights reserved by Ikeda Neurosurgical Clinic.